Phẫu Thuật Gãy Xương cho Chó Mèo


Gãy xương là một trong những chấn thương phổ biến xảy ra ở chó và mèo, có thể do nhiều nguyên nhân khác nhau. Những động vật này có thể bị gãy xương khi tham gia vào các hoạt động vui chơi, như nhảy và chạy nhảy, hoặc do va chạm với các phương tiện giao thông. Ngoài ra, những thú cưng lớn tuổi hoặc có tiền sử về các bệnh lý xương khớp cũng dễ dàng gặp phải tình trạng này.
Các triệu chứng cho thấy chó, mèo bị gãy xương thường rất rõ ràng. Thú cưng sẽ có hiện tượng đau đớn rõ rệt, thể hiện qua sự kêu gào hoặc xúc động mạnh. Bên cạnh đó, việc động vật không thể di chuyển hoặc mang trọng lượng lên chi bị thương cũng là dấu hiệu đáng chú ý. Đối với những trường hợp nặng hơn, có thể thấy xương bị lệch hoặc biến dạng, điều này yêu cầu sự can thiệp ngay lập tức của bác sĩ thú y.
Nếu không được phát hiện và điều trị kịp thời, các chấn thương gãy xương có thể dẫn đến nhiều hậu quả nghiêm trọng cho sức khỏe của thú cưng. Các vấn đề như mất khả năng vận động, đau mãn tính, và thậm chí là các bệnh lý kết hợp khác đều có thể xảy ra. Đặc biệt, gãy xương không được chữa trị có thể dẫn đến tình trạng nhiễm trùng, điều này không chỉ ảnh hưởng đến sức khỏe mà còn gia tăng chi phí điều trị. Do vậy, các chủ nuôi cần có kiến thức và nhận thức đúng đắn về những triệu chứng và cách xử lý tình huống gãy xương ở thú cưng để đảm bảo sức khỏe và hạnh phúc cho chúng.
Quy Trình Khám Bệnh và Chẩn Đoán Tại Phòng Khám Dr.Vet
Khi thú cưng của bạn có dấu hiệu nghi ngờ gãy xương, việc đưa chúng đến phòng khám thú y Dr.Vet để được thăm khám và chẩn đoán là hết sức quan trọng. Quy trình khám bệnh tại Dr.Vet sẽ được thực hiện một cách hệ thống và bài bản để đảm bảo thú cưng nhận được sự chăm sóc tốt nhất. Đầu tiên, bác sĩ thú y sẽ thực hiện một cuộc thăm khám tổng quát để đánh giá tình trạng sức khỏe của thú cưng.
Sau khi lắng nghe mô tả của chủ sở hữu về triệu chứng và hành vi của chó mèo, bác sĩ sẽ tiến hành kiểm tra các vùng bị nghi ngờ có gãy xương. Việc kiểm tra sẽ bao gồm việc sờ nắn và di chuyển các chi để xác định vị trí đau hoặc khó chịu. Bên cạnh đó, các xét nghiệm chức năng cũng có thể được thực hiện nhằm loại trừ những nguyên nhân khác có thể gây ra triệu chứng tương tự.
Để chẩn đoán chính xác tình trạng gãy xương, bác sĩ sẽ chỉ định thực hiện hình ảnh học, chủ yếu là X-quang. Kỹ thuật X-quang giúp phát hiện những gãy xương mà mắt thường không thể nhìn thấy. Nếu cần thiết, bác sĩ có thể sử dụng thêm các kỹ thuật hình ảnh khác như siêu âm hoặc chụp CT để thu thập thông tin chi tiết hơn về tình trạng xương và mô xung quanh. Từ đó, lược đồ điều trị sẽ được lên kế hoạch dựa trên kết quả chẩn đoán.
Quy trình khám bệnh và chẩn đoán tại phòng khám Dr.Vet không chỉ đảm bảo tính chính xác mà còn giúp chủ nuôi yên tâm khi chăm sóc cho thú cưng của mình trong hành trình hồi phục.
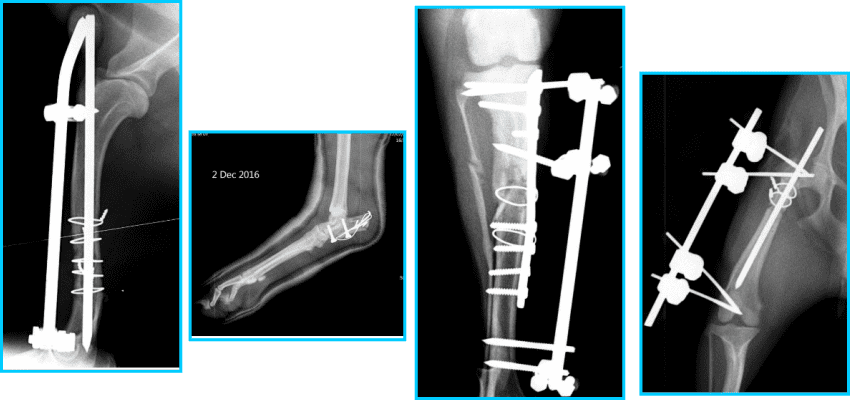
Phương Pháp Phẫu Thuật Gãy Xương Thú Cưng
Gãy xương ở chó mèo là một tình trạng phổ biến, và việc điều trị thường yêu cầu các phương pháp phẫu thuật khác nhau để đảm bảo hồi phục tốt nhất cho thú cưng. Tại Phòng Khám Thú Y Dr.Vet, chúng tôi áp dụng một số phương pháp phẫu thuật hiện đại và hiệu quả để điều trị gãy xương, bao gồm nội soi, cố định xương bằng nẹp, vít, và những phương pháp khác.
Phương pháp nội soi là một trong những kỹ thuật tiên tiến nhất hiện nay trong điều trị gãy xương ở thú cưng. Với nội soi, bác sĩ sẽ sử dụng một ống mỏng có gắn camera để nhìn thấy bên trong cơ thể thú cưng thông qua một vết rạch nhỏ. Kỹ thuật này không chỉ giúp giảm thiểu tổn thương mô mà còn thúc đẩy quá trình phục hồi nhanh hơn. Tuy nhiên, phương pháp này thường chỉ phù hợp với những trường hợp gãy xương nhẹ hoặc khi việc phẫu thuật mở là không khả thi.
Cố định xương bằng nẹp và vít là một trong những phương pháp truyền thống hơn. Kỹ thuật này bao gồm việc sử dụng các thiết bị cố định để giữ cho các mảnh xương trong vị trí chính xác. Phương pháp này có ưu điểm là sự ổn định cao và khả năng phục hồi mạnh mẽ, nhưng nhược điểm là cần một thời gian hồi phục lâu hơn và có nguy cơ nhiễm trùng tại vết mổ.
Mỗi phương pháp phẫu thuật đều có những lợi ích và nhược điểm riêng. Sự lựa chọn phương pháp nào thường phụ thuộc vào tuổi tác, tình trạng sức khỏe của thú cưng cũng như loại gãy xương cụ thể. Việc thăm khám và tư vấn từ bác sĩ thú y sẽ giúp chủ nuôi đưa ra quyết định đúng đắn nhất cho sự phục hồi của thú cưng.
Chăm Sóc Hậu Phẫu cho Thú Cưng
Sau khi phẫu thuật gãy xương, việc chăm sóc hậu phẫu cho chó mèo là rất quan trọng để đảm bảo quá trình hồi phục của thú cưng diễn ra suôn sẻ. Đầu tiên, dinh dưỡng là một yếu tố thiết yếu trong giai đoạn này. Chó mèo cần một chế độ ăn uống cân đối, giàu protein để hỗ trợ quá trình chữa lành. Thức ăn nên được chế biến dễ tiêu và có thể bao gồm các loại thực phẩm giàu chất dinh dưỡng như thịt nạc, cá, và rau củ. Bên cạnh đó, nước uống cũng cần được cung cấp đầy đủ để tránh tình trạng mất nước, điều này đặc biệt quan trọng khi thú cưng đang hồi phục.
Về chế độ vận động, cần hạn chế tối đa hoạt động của thú cưng trong khoảng thời gian đầu sau phẫu thuật. Việc để chúng vận động quá mức có thể gây đau hoặc làm hỏng lại vị trí xương đã được cố định. Hãy tuân thủ các hướng dẫn của bác sĩ thú y về thời gian và mức độ cho phép của các hoạt động. Thường thì chỉ những hoạt động đi lại nhẹ nhàng trong nhà là được khuyến nghị cho đến khi thú cưng phục hồi tốt hơn.
Việc theo dõi tình trạng sức khỏe của chó mèo trong thời gian này cũng là rất cần thiết. Các dấu hiệu như sưng tấy, đau nhức kéo dài, hoặc không chịu ăn uống có thể chỉ ra rằng có vấn đề phát sinh. Nếu nhận thấy bất kỳ biểu hiện bất thường nào, bạn nên liên hệ với bác sĩ thú y ngay lập tức để có sự can thiệp kịp thời. Ngoài ra, kiểm tra vết mổ hàng ngày sẽ giúp bạn phát hiện sớm các dấu hiệu nhiễm trùng hoặc viêm đau.
Tóm lại, việc chăm sóc hậu phẫu cho thú cưng không chỉ giúp chúng hồi phục nhanh chóng mà còn đảm bảo sức khỏe lâu dài. Hãy dành thời gian quan tâm và chăm sóc cho chúng trong giai đoạn này.
Kinh Nghiệm Từ Khách Hàng tại Phòng Khám Dr.Vet
Khi quyết định đưa thú cưng đến phòng khám thú y Dr.Vet để phẫu thuật gãy xương, các chủ nuôi thường có những trải nghiệm rất khác nhau. Nhiều khách hàng đã chia sẻ về sự tận tâm và chuyên nghiệp của đội ngũ y bác sĩ tại đây. Một chủ nuôi tên An cho biết: "Tôi cảm thấy rất yên tâm khi đưa chó của mình đến đây. Đội ngũ bác sĩ đã giải thích rõ ràng về toàn bộ quy trình phẫu thuật và những điều cần chú ý sau khi xuất viện." Sự chăm sóc chu đáo như vậy đã giúp An cảm thấy an lòng hơn trong những thời điểm lo lắng.
Câu chuyện của một khách hàng khác, chị Mai, cũng phản ánh sự hài lòng với dịch vụ tại Dr.Vet. Chị chia sẻ: "Chú mèo của tôi đã gặp phải một tai nạn nghiêm trọng và cần phẫu thuật ngay lập tức. Tại phòng khám, họ không chỉ thực hiện phẫu thuật thành công mà còn theo dõi và chăm sóc chú mèo của tôi một cách chu đáo sau phẫu thuật." Đây rõ ràng là một trải nghiệm tích cực, cho thấy sự cam kết của Dr.Vet đối với sự an toàn và sức khỏe của thú cưng.
Một khách hàng khác cũng cho biết: "Trước khi quyết định thực hiện phẫu thuật, tôi đã tham khảo ý kiến từ nhiều nơi nhưng cuối cùng đã chọn Dr.Vet nhờ những phản hồi tích cực từ bạn bè.Trong suốt quá trình, tôi nhận thấy rằng đội ngũ tại đây luôn sẵn sàng hỗ trợ và lắng nghe mọi câu hỏi của tôi." Những trải nghiệm này không chỉ khẳng định chất lượng dịch vụ của phòng khám mà còn nâng cao niềm tin của những chủ nuôi đối với việc chăm sóc thú cưng tại đây.
Chi Phí Phẫu Thuật
Việc phẫu thuật gãy xương cho chó mèo tại phòng khám thú y Dr.Vet thường tiêu tốn một khoản chi phí đáng kể, tùy thuộc vào nhiều yếu tố như mức độ nghiêm trọng của chấn thương, loại phẫu thuật cần thực hiện và loại thú cưng được điều trị. Trong nhiều trường hợp, chi phí phẫu thuật này có thể dao động từ vài triệu đến hàng chục triệu đồng. Tại phòng khám Dr.Vet, đội ngũ bác sĩ giàu kinh nghiệm và trang thiết bị hiện đại giúp đảm bảo quy trình phẫu thuật diễn ra thành công và an toàn cho thú cưng của bạn. Tuy nhiên, trước khi quyết định thực hiện phẫu thuật, chủ nuôi cần tìm hiểu kỹ lưỡng về các chi phí phát sinh có thể xảy ra như khám bệnh, xét nghiệm, thuốc men, và chế độ chăm sóc sau phẫu thuật.
Bên cạnh các chi phí điều trị, chủ nuôi cũng nên xem xét các lựa chọn bảo hiểm y tế cho thú cưng của mình. Nhiều công ty bảo hiểm hiện cung cấp các gói bảo hiểm thú cưng với mức phí hợp lý, giúp giảm bớt gánh nặng tài chính trong trường hợp cần thực hiện các thủ tục chăm sóc y tế đắt đỏ như phẫu thuật gãy xương. Các chính sách bảo hiểm này có thể bao gồm các khoản chi phí khám bệnh, phẫu thuật, và thuốc, nên chúng có thể giúp bảo vệ tài chính cho chủ nuôi khi đối mặt với những tình huống khẩn cấp về sức khỏe của thú cưng.
Khi lựa chọn bảo hiểm cho thú cưng, chủ nuôi nên thận trọng đọc kỹ các điều khoản hợp đồng, lưu ý đến những điều kiện loại trừ và mức phí bảo hiểm hàng tháng, nhằm đảm bảo quyền lợi tốt nhất cho thú cưng trong mọi tình huống. Việc chuẩn bị tài chính và hiểu rõ các lựa chọn bảo hiểm sẽ giúp chủ nuôi có tâm lý thoải mái hơn khi phải đối mặt với các tình huống y tế bất ngờ cho thú cưng của mình.
Kết Luận và Lời Khuyên
Phẫu thuật gãy xương cho chó mèo là một quy trình cần thiết nhằm khôi phục chức năng vận động và chất lượng cuộc sống cho thú cưng sau khi bị chấn thương. Việc hiểu biết về quy trình này, những rủi ro và lợi ích liên quan sẽ giúp các chủ nuôi có sự chuẩn bị tốt hơn khi phải đối diện với tình huống khẩn cấp. Đầu tiên, điều quan trọng nhất mà các chủ nuôi cần lưu ý là việc phát hiện sớm các dấu hiệu của gãy xương, như hành vi đi lại khó khăn, sưng tấy hoặc đau đớn. Nếu nhận thấy các triệu chứng này, việc đưa thú cưng đến phòng khám thú y ngay lập tức là rất quan trọng.
Trong quá trình phẫu thuật, bác sĩ thú y sẽ xem xét kỹ lưỡng tình trạng cụ thể của thú cưng để đưa ra phương án điều trị phù hợp. Các kỹ thuật phẫu thuật hiện đại, chẳng hạn như ghim xương hoặc nẹp cố định, thường mang lại tỉ lệ thành công cao, nhưng chăm sóc sau phẫu thuật cũng không kém phần quan trọng. Chủ nuôi nên tuân thủ đầy đủ hướng dẫn của bác sĩ, bao gồm việc cung cấp thuốc giảm đau, chăm sóc vết thương và việc hạn chế vận động cho thú cưng trong thời gian hồi phục.
Cuối cùng, cũng cần nhấn mạnh rằng sự chuẩn bị cho các tình huống khẩn cấp có thể cứu sống thú cưng của bạn. Đảm bảo rằng bạn đã tìm hiểu về các phòng khám thú y uy tín và có sẵn thông tin liên hệ trong trường hợp cần thiết. Việc chăm sóc cho chó mèo sau phẫu thuật gãy xương đòi hỏi sự kiên nhẫn và yêu thương từ phía chủ nuôi, để thú cưng có thể nhanh chóng hồi phục và trở lại với cuộc sống bình thường.

