Ký sinh trùng máu Babesia ở chó: Nguyên nhân, Chuẩn đoán, Điều trị và Phòng ngừa


Tổng quan về ký sinh trùng Babesia
Ký sinh trùng Babesia là một nhóm các protozoa thuộc họ Babesiidae, được biết đến là một trong những tác nhân gây bệnh máu nghiêm trọng ở chó. Chúng xâm nhập vào hồng cầu, dẫn đến tình trạng giảm số lượng hồng cầu trong cơ thể chó, hay còn gọi là bệnh thiếu máu. Các giống Babesia phổ biến đối với chó bao gồm Babesia canis và Babesia gibsoni, trong đó Babesia canis thường gây ra các triệu chứng nặng nề hơn. Sự hiện diện của ký sinh trùng này không chỉ gây ra các vấn đề về sức khỏe ngay lập tức mà còn có thể để lại những di chứng lâu dài.
Quá trình lây lan của ký sinh trùng Babesia chủ yếu diễn ra thông qua ve chó, cụ thể là các loại ve vùng trung núi như Rhipicephalus (Boophilus) microplus và Dermacentor variabilis. Khi ve cắn chó để hút máu, ký sinh trùng Babesia sẽ được truyền vào cơ thể thú cưng. Ngoài ra, Babesia cũng có thể lây truyền qua truyền máu từ chó nhiễm bệnh sang chó khỏe mạnh. Đây là lý do tại sao việc kiểm tra sức khỏe định kỳ cho chó và bảo vệ chúng khỏi ve là rất quan trọng.
Ảnh hưởng của ký sinh trùng Babesia đến sức khỏe của chó thường rất nguy hiểm. Những chú chó bị nhiễm có triệu chứng bao gồm sốt cao, mệt mỏi, suy nhược, và có thể dẫn đến tử vong nếu không được điều trị kịp thời. Bệnh có thể biểu hiện qua nhiều mức độ nặng khác nhau, từ nhẹ đến nghiêm trọng, tùy thuộc vào giống Babesia và tình trạng sức khỏe tổng thể của chó. Việc nhận diện và điều trị sớm là rất quan trọng để bảo vệ sức khỏe của vật nuôi và ngăn chặn gia tăng sự lây lan của ký sinh trùng này trong cộng đồng.
Nguyên nhân gây bệnh Babesia ở chó
Ký sinh trùng Babesia, một mầm bệnh nguy hiểm đối với chó, chủ yếu lây lan thông qua các vector như muỗi và ve. Những loài côn trùng này hoạt động như cầu nối giữa các ký sinh trùng và vật chủ. Khi chó bị côn trùng cắn, ký sinh trùng được truyền vào dòng máu, từ đó gây ra các triệu chứng bệnh lý nghiêm trọng. Đặc biệt, muỗi trong vùng khí hậu nóng ẩm có tỷ lệ truyền bệnh cao hơn, tạo thuận lợi cho sự phát triển và lây lan của Babesia.
Bên cạnh các vector truyền bệnh, điều kiện thời tiết cũng đóng vai trò quan trọng trong sự lây lan của bệnh. Nhiệt độ và độ ẩm cao là yếu tố thúc đẩy sự phát triển của các loài ve và muỗi. Những vùng có khí hậu ôn đới hay nhiệt đới dễ dàng tạo điều kiện cho các côn trùng này phát triển, làm tăng nguy cơ lây nhiễm Babesia cho chó. Thời tiết thuận lợi có thể làm gia tăng số lượng mẫu vật côn trùng gia tăng, từ đó thúc đẩy sự lây lan của ký sinh trùng.
Yếu tố môi trường cũng có thể ảnh hưởng đến số lượng ve và muỗi. Những khu vực có thảm thực vật dày, ao hồ, hay khu vực ẩm ướt thường là nơi trú ngụ lý tưởng cho các loài côn trùng này. Khi chó sống trong những khu vực có nhiều côn trùng truyền bệnh, khả năng lây nhiễm Babesia sẽ tăng lên đáng kể. Đây là lý do mà việc theo dõi môi trường xung quanh chó và áp dụng biện pháp phòng ngừa là cực kỳ cần thiết để hạn chế nguy cơ nhiễm ký sinh trùng Babesia.
Triệu chứng và dấu hiệu nhiễm bệnh
Khi chó bị nhiễm ký sinh trùng máu Babesia, nhiều triệu chứng khác nhau có thể xuất hiện, cho thấy ảnh hưởng của bệnh lên sức khỏe của chúng. Sốt là một trong những dấu hiệu phổ biến nhất; nhiều chú chó có thể xuất hiện nhiệt độ cao bất thường, điều này cho thấy cơ thể đang cố gắng chống lại sự lây nhiễm. Tuy nhiên, không phải tất cả các trường hợp nhiễm Babesia đều dẫn đến sốt, điều này có thể gây khó khăn cho quá trình chẩn đoán.
Các triệu chứng khác có thể bao gồm sự yếu sức và uể oải. Chủ nuôi có thể nhận thấy rằng chú chó của mình không còn năng động như trước, thường xuyên nằm xuống và không mấy hứng thú với hoạt động hoặc đi dạo. Mất cảm giác ngon miệng cũng là một dấu hiệu đáng chú ý, giúp nhận biết sự hiện diện của ký sinh trùng này. Chó có thể bỏ ăn hoặc chỉ ăn rất ít trong các bữa ăn, điều này có thể ảnh hưởng đến sức khỏe tổng thể của chúng nếu không được điều trị kịp thời.
Vàng da, hoặc sự xuất hiện của màu vàng trên da và trong mắt của chó, cũng là một triệu chứng mà người nuôi cần chú ý. Vàng da thường là một chỉ dấu của tổn thương gan do sự lây nhiễm của Babesia, và việc chú ý đến dấu hiệu này là rất quan trọng vì nó có thể cho thấy mức độ nghiêm trọng của tình trạng bệnh.
Ngoài ra, sự xuất hiện của các dấu hiệu khác như tiểu ra máu, khó thở và biểu hiện đau đớn cũng có thể xảy ra trong một số trường hợp. Việc theo dõi và nhận biết những triệu chứng này sẽ giúp chủ nuôi chú ý hơn đến tình trạng sức khỏe của thú cưng, từ đó có quyết định kịp thời trong việc chẩn đoán và điều trị. Phát hiện sớm là chìa khóa trong việc nâng cao cơ hội hồi phục cho chó nhiễm Babesia.
Các phương pháp chẩn đoán bệnh Babesia
Bệnh Babesia ở chó, do ký sinh trùng Babesia gây ra, ảnh hưởng nghiêm trọng đến sức khỏe của thú cưng. Chẩn đoán chính xác bệnh này là rất quan trọng để bảo vệ sức khỏe của chó. Có nhiều phương pháp được bác sĩ thú y sử dụng để xác định sự hiện diện của ký sinh trùng Babesia trong máu của bệnh nhân.
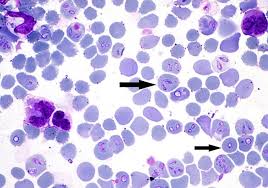
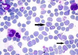
Một trong những phương pháp chính là xét nghiệm máu. Bác sĩ sẽ tiến hành lấy mẫu máu và thực hiện các xét nghiệm như nhuộm máu để tìm kiếm ký sinh trùng Babesia. Thông qua phương pháp này, các bác sĩ có thể phát hiện sự hiện diện của ký sinh trùng trong tế bào hồng cầu bằng cách quan sát dưới kính hiển vi. Phương pháp này thường cho kết quả nhanh chóng và có độ chính xác cao.
Ngoài xét nghiệm máu, hình ảnh siêu âm cũng được áp dụng để hỗ trợ chẩn đoán bệnh Babesia. Siêu âm có thể giúp bác sĩ nhìn thấy những thay đổi trong kích thước và hình dạng của cơ quan nội tạng, đặc biệt là lá lách và gan, nơi có thể bị ảnh hưởng bởi bệnh lý do Babesia gây ra. Tuy nhiên, siêu âm không thể xác định trực tiếp sự hiện diện của ký sinh trùng, nhưng lại là một công cụ hữu ích để đánh giá các triệu chứng và biến chứng.
Các công cụ chẩn đoán khác như PCR (Polymerase Chain Reaction) cũng được sử dụng để phát hiện DNA của ký sinh trùng Babesia trong máu. Phương pháp này có độ nhạy cao và cho phép phát hiện ký sinh trùng ngay cả khi có số lượng rất thấp trong mẫu máu. Việc kết hợp nhiều phương pháp chẩn đoán sẽ giúp bác sĩ thú y đưa ra quyết định chính xác về tình trạng sức khỏe của chó và lựa chọn phương pháp điều trị hiệu quả nhất.
Phác đồ điều trị bệnh Babesia
Bệnh Babesia ở chó, do ký sinh trùng Babesia gây ra, cần có phác đồ điều trị hợp lý để đảm bảo sức khỏe cho thú cưng. Điều trị bệnh này chủ yếu dựa trên việc sử dụng thuốc chống ký sinh trùng, kết hợp với các biện pháp hỗ trợ khác để khôi phục sức khỏe cho chó. Hai loại thuốc phổ biến nhất trong điều trị Babesia là Imidocarb dipropionate và Atovaquone. Imidocarb được biết đến với khả năng tiêu diệt ký sinh trùng Babesia nhanh chóng trong giai đoạn cấp tính của bệnh. Atovaquone, một loại thuốc kháng nấm, cũng được sử dụng để chống lại Babesia, thường trong các trường hợp kháng thuốc Imidocarb.
Giai đoạn điều trị sẽ tùy thuộc vào mức độ nghiêm trọng của bệnh. Trong giai đoạn đầu, chó sẽ được điều trị bằng các loại thuốc đã nêu và được theo dõi chặt chẽ, để đảm bảo rằng thuốc phát huy hiệu quả tối đa. Song song với việc dùng thuốc, việc hỗ trợ dinh dưỡng cho thú cưng là rất quan trọng. Thức ăn phải đảm bảo cung cấp đầy đủ năng lượng và chất dinh dưỡng cần thiết cho cơ thể chó, góp phần hồi phục sức khỏe.
Bên cạnh đó, việc theo dõi sức khỏe và các dấu hiệu của bệnh trong quá trình điều trị là cần thiết. Các triệu chứng như sốt, giảm hoạt động hay sự thay đổi về ăn uống đều cần được chú ý. Nếu có bất kỳ dấu hiệu bất thường nào, cần thông báo ngay cho bác sĩ thú y. Nhìn chung, phác đồ điều trị bệnh Babesia cần được thực hiện nghiêm ngặt, linh hoạt để cứu hộ sức khỏe cho chó một cách nhanh chóng và hiệu quả.
Phòng ngừa bệnh Babesia ở chó
Để bảo vệ chó khỏi nhiễm ký sinh trùng máu Babesia, các biện pháp phòng ngừa là cực kỳ quan trọng. Một trong những cách hiệu quả nhất để giảm nguy cơ nhiễm bệnh là chăm sóc sức khỏe cho chó một cách đầy đủ. Điều này bao gồm việc cung cấp chế độ ăn uống cân bằng, nhiều nước sạch và đảm bảo chó luôn có đủ hoạt động thể chất để duy trì hệ thống miễn dịch khỏe mạnh.
Vệ sinh môi trường sống cũng đóng một vai trò quan trọng trong việc phòng ngừa bệnh Babesia. Chủ nuôi nên thường xuyên dọn dẹp khu vực sống của chó, loại bỏ những vật có thể chứa bọ ve hay ký sinh trùng khác. Đặc biệt, cần chú ý vùng cỏ, bụi rậm xung quanh nhà, vì đây là nơi lý tưởng cho sự phát triển của bọ ve. Sử dụng các biện pháp diệt côn trùng như xịt thuốc hay bả để hạn chế sự xuất hiện của bọ cũng rất quan trọng.
Ngoài việc chăm sóc và vệ sinh môi trường, việc sử dụng thuốc phòng ngừa và vaccine là một phần không thể thiếu trong quy trình bảo vệ chó khỏi Babesia. Nhiều loại thuốc phát triển được thiết kế để ngăn ngừa bọ ve và các ký sinh trùng khác có thể gây hại cho chó. Chủ nuôi nên tham khảo ý kiến bác sĩ thú y để chọn lựa loại thuốc phù hợp cho từng cá thể chó và khu vực địa lý của mình.
Cùng với các biện pháp phòng ngừa trên, việc theo dõi sức khỏe định kỳ cho chó cũng giúp phát hiện sớm dấu hiệu của bệnh và điều trị kịp thời. Bằng cách thực hiện các bước này, chủ nuôi có thể giảm nguy cơ nhiễm ký sinh trùng máu Babesia, bảo vệ sức khỏe cho chó của mình và giữ cho chúng luôn vui vẻ và khỏe mạnh.
Tư vấn từ bác sĩ thú y Dr.Vet
Chăm sóc chó bị nhiễm trùng máu Babesia là một quá trình đòi hỏi sự chú ý và kiên nhẫn từ người nuôi. Để hỗ trợ điều trị và đảm bảo sức khỏe tốt nhất cho thú cưng của bạn, bác sĩ thú y Dr.Vet khuyến nghị một số biện pháp cụ thể. Đầu tiên, việc tuân thủ đúng phác đồ điều trị từ bác sĩ là rất quan trọng. Điều này bao gồm việc sử dụng thuốc theo đúng chỉ dẫn, theo dõi triệu chứng và phản ứng của chó với thuốc điều trị.
Người nuôi cũng nên chú ý đến chế độ dinh dưỡng cho chó. Một chế độ ăn uống cân bằng và giàu dinh dưỡng giúp tăng cường sức đề kháng và hỗ trợ quá trình hồi phục. Hãy tham khảo ý kiến bác sĩ thú y về việc bổ sung vitamin và khoáng chất cần thiết để thúc đẩy hệ miễn dịch của chó trong thời gian này.
Điều quan trọng không kém là việc theo dõi tình trạng sức khỏe của chó. Những dấu hiệu như sốt, mệt mỏi hay sự thay đổi trong hành vi cần được chú ý và báo ngay cho bác sĩ thú y. Việc này không chỉ giúp phát hiện kịp thời những biến chứng có thể xảy ra mà còn tạo cơ hội điều chỉnh phác đồ điều trị nếu cần thiết.
Cuối cùng, bác sĩ khuyến khích người nuôi thường xuyên đưa chó đi khám sức khỏe định kỳ ngay cả khi chó không có triệu chứng. Việc này giúp phát hiện sớm những bệnh lý tiềm ẩn, bao gồm cả nhiễm trùng Babesia, từ đó giúp bảo vệ sức khỏe cho thú cưng của bạn tốt hơn. Thăm khám định kỳ là một phần quan trọng trong việc chăm sóc chó và phòng ngừa bệnh hiệu quả.

