Ký sinh trùng Anaplasma ở mèo: Căn Bệnh Nguy Hiểm & Cách Phòng Tránh


Giới Thiệu Về Ký Sinh Trùng Anaplasma ở Mèo
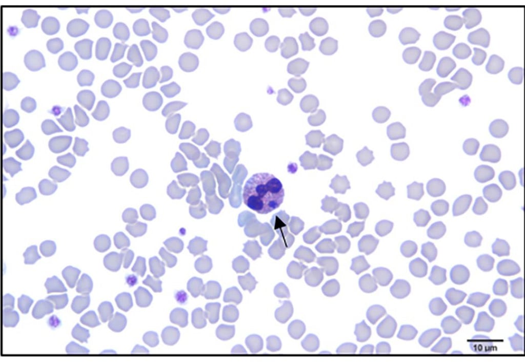
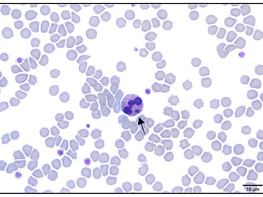
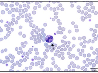
Ký sinh trùng máu Anaplasma là một loại vi khuẩn thuộc họ Anaplasmataceae, gây bệnh viêm huyết cầu ở nhiều loài động vật, bao gồm cả mèo. Anaplasma phát triển chủ yếu bên trong các tế bào máu trắng (leukocytes) của vật chủ, làm rối loạn chức năng miễn dịch và ảnh hưởng đến khả năng bảo vệ cơ thể khỏi các bệnh nhiễm trùng khác. Đây là một trong những lý do chính khiến Anaplasma trở thành một mối đe dọa nghiêm trọng đối với sức khỏe của mèo.
Vi khuẩn Anaplasma có nhiều dạng khác nhau, nhưng hai loài chính gây bệnh ở mèo là Anaplasma phagocytophilum và Anaplasma platys. Đặc điểm sinh học của Anaplasma cho phép chúng tồn tại và sinh sản bên trong các tế bào mà chúng xâm nhập, dẫn đến sự giảm sút về số lượng tế bào bạch cầu. Hậu quả là hệ thống miễn dịch của mèo trở nên yếu hơn, dễ bị tổn thương trước các tác nhân gây bệnh khác.
Triệu chứng nhiễm Anaplasma ở mèo đa dạng, có thể bao gồm sốt, suy nhược, cân nặng giảm, thiếu máu và các vấn đề về đường huyết. Thời gian ủ bệnh có thể kéo dài từ vài ngày đến vài tuần, tùy thuộc vào trạng thái miễn dịch của mèo cũng như mức độ xâm nhập của vi khuẩn. Việc chẩn đoán đúng bệnh Anaplasma thường yêu cầu kết hợp giữa xét nghiệm máu và triệu chứng lâm sàng. Mặc dù Anaplasma thường được biết đến nhiều hơn ở động vật hoang dã và gia súc, nguy cơ nhiễm bệnh ở mèo cần được nghiêm túc xem xét và phòng ngừa.
Triệu Chứng Của Bệnh Anaplasma Ở Mèo
Bệnh Anaplasma ở mèo là một căn bệnh do ký sinh trùng gây ra và có thể gây ra những triệu chứng nghiêm trọng cho sức khỏe của mèo. Một trong những triệu chứng nổi bật nhất của bệnh này là tình trạng suy nhược. Mèo bị nhiễm Anaplasma thường cảm thấy mệt mỏi, không muốn vận động và có thể mất sức nhanh chóng. Biểu hiện này xảy ra do sự ảnh hưởng của ký sinh trùng đến hệ thống miễn dịch và khả năng hấp thụ chất dinh dưỡng của cơ thể mèo.
Trong một số trường hợp, mèo cũng có thể bị sưng hạch bạch huyết. Hạch bạch huyết sưng to có thể khiến mèo cảm thấy khó chịu và đau. Bên cạnh đó, tình trạng hạ sốt cũng là một triệu chứng đáng chú ý. Khi mèo bị Anaplasma, nhiệt độ cơ thể có thể giảm xuống mức thấp hơn bình thường, điều này có thể dẫn đến nhiều vấn đề sức khỏe khác nghiêm trọng hơn.
Ngoài các triệu chứng nêu trên, mèo cũng có thể gặp phải một số dấu hiệu khác như buồn nôn và tiêu chảy. Những triệu chứng này thường khiến mèo không ăn uống và dẫn đến tình trạng suy dinh dưỡng. Việc nhận biết những dấu hiệu này càng sớm càng tốt là rất quan trọng để có thể can thiệp và điều trị kịp thời. Để phát hiện sớm bệnh, người nuôi mèo cần theo dõi hành vi và tình trạng sức khỏe của thú cưng thường xuyên. Khi nhận thấy có dấu hiệu bất thường, cần đưa mèo đến thú y để được khám và điều trị thích hợp, tránh những hậu quả nghiêm trọng do bệnh Anaplasma gây ra.
Nguyên Nhân và Cách Thức Lây Lan
Bệnh Anaplasma ở mèo là một loại nhiễm trùng do ký sinh trùng Anaplasma gây ra, và nguyên nhân chủ yếu của bệnh này liên quan đến sự lây lan qua côn trùng ký sinh. Các loài côn trùng như ve, bọ chét và bọ cánh cứng được xác định là những tác nhân chủ yếu góp phần vào sự lây truyền của ký sinh trùng. Khi một con mèo bị côn trùng này cắn, hình thức truyền nhiễm sẽ diễn ra thông qua tiếp xúc máu, cho phép Anaplasma xâm nhập vào hệ tuần hoàn của vật chủ.
Sự hoạt động của các côn trùng này không chỉ tăng cường nguy cơ mắc bệnh Anaplasma mà còn khiến cho những con mèo bị yếu tố giảm miễn dịch càng dễ mắc bệnh hơn. Những chú mèo có hệ miễn dịch kém, do các bệnh lý khác hoặc stress, có khả năng bị ảnh hưởng nặng nề hơn khi tiếp xúc với Anaplasma qua bọ ký sinh. Như vậy, việc xác định và điều trị sớm các vấn đề sức khỏe cho mèo là rất quan trọng hết sức nhằm giảm thiểu nguy cơ nhiễm trùng Anaplasma.
Về phương diện môi trường, những khu vực có mật độ côn trùng cao, đặc biệt là vào mùa hè, cũng tạo điều kiện thuận lợi cho sự phát triển và lây lan của các loại ký sinh trùng này. Do đó, việc quản lý không gian sống cho mèo, bao gồm việc định kỳ kiểm tra sức khỏe và thực hiện các biện pháp phòng ngừa, là cần thiết để bảo vệ chúng khỏi nguy cơ lây nhiễm Anaplasma.
Phòng Ngừa và Điều Trị Bệnh Anaplasma Ở Mèo
Bệnh Anaplasma, do ký sinh trùng Anaplasma gây ra, là một vấn đề sức khỏe nghiêm trọng cho mèo. Việc phòng ngừa bệnh này là rất quan trọng và có thể thực hiện thông qua nhiều biện pháp khác nhau. Đầu tiên, việc sử dụng thuốc phòng chống côn trùng, như thuốc xịt hay thuốc viên, có vai trò quan trọng trong việc ngăn ngừa các loại ve và bọ chét lây nhiễm bệnh. Các sản phẩm này cần được sử dụng thường xuyên để đảm bảo mèo không bị nhiễm bệnh từ môi trường xung quanh.
Việc tiêm phòng định kỳ cho mèo cũng rất cần thiết. Các chủ nuôi nên tham khảo ý kiến bác sĩ thú y để có kế hoạch tiêm phòng phù hợp. Điều này không chỉ giúp bảo vệ mèo khỏi bệnh Anaplasma mà còn ngăn ngừa nhiều loại bệnh khác. Bên cạnh đó, việc giữ cho môi trường sống của mèo sạch sẽ và an toàn sẽ hạn chế nguy cơ mắc bệnh. Điều này bao gồm việc dọn dẹp thường xuyên khu vực ngủ của mèo và tránh để mèo tiếp xúc với những nơi có nhiều côn trùng.
Trong trường hợp mèo đã mắc bệnh Anaplasma, việc can thiệp y tế kịp thời là vô cùng quan trọng. Chủ nuôi cần đưa mèo đến bác sĩ thú y để được chẩn đoán chính xác và lập kế hoạch điều trị. Phương pháp điều trị thường bao gồm việc sử dụng các loại thuốc kháng sinh để tiêu diệt ký sinh trùng trong cơ thể mèo. Ngoài ra, việc theo dõi sức khỏe của mèo cũng cần được thực hiện thường xuyên, nhằm phát hiện sớm bất kỳ dấu hiệu nhiễm trùng nào. Cuối cùng, việc đưa mèo đi khám sức khỏe định kỳ đóng vai trò quan trọng trong việc bảo vệ tốt nhất cho sức khỏe của chúng.

