Hepatozoonosis ở Chó: Căn Bệnh Nguy Hiểm và Cách Phòng Ngừa


Giới thiệu về Hepatozoonosis
Hepatozoonosis là một căn bệnh truyền nhiễm do ký sinh trùng thuộc giống Hepatozoon gây ra, thường gặp ở chó. Trong đó, hai loại ký sinh trùng chính gây bệnh là Hepatozoon canis và Hepatozoon americanum. Hepatozoon canis chủ yếu lây lan qua bọ chét, trong khi Hepatozoon americanum chủ yếu lây truyền qua côn trùng rỉa máu như ve. Cả hai loại ký sinh trùng này có khả năng ảnh hưởng lớn đến sức khỏe của chó, làm cho chúng dễ mắc phải các triệu chứng nặng nề.
Triệu chứng thường thấy khi chó nhiễm Hepatozoonosis bao gồm sốt cao, yếu đuối, chán ăn, và có thể dẫn đến tình trạng thiếu máu nghiêm trọng. Bệnh có thể ảnh hưởng đến nhiều cơ quan trong cơ thể, bao gồm cả gan và thận. Việc chẩn đoán sớm và điều trị kịp thời rất quan trọng để ngăn ngừa các biến chứng nghiêm trọng. Chó nhiễm bệnh thường phải trải qua các liệu pháp điều trị kéo dài và có thể cần phải theo dõi sức khỏe định kỳ để đảm bảo sự phục hồi.
Nguyên nhân chính của bệnh Hepatozoonosis là sự tiếp xúc với ký sinh trùng qua các côn trùng trung gian như bọ chét và ve. Khi chó bị nhiễm ký sinh trùng này, chất độc sản sinh từ ký sinh trùng sẽ làm suy giảm hệ miễn dịch của chó, gây nên các triệu chứng lâm sàng nghiêm trọng. Do đó, việc giữ cho chó tránh xa côn trùng khu vực ngoại thành và thực hiện các biện pháp phòng ngừa là cần thiết. Trong môi trường sống nhiều côn trùng, chó có nguy cơ nhiễm bệnh cao hơn, dẫn đến sự gia tăng tỉ lệ mắc Hepatozoonosis.
Nguyên nhân gây ra Hepatozoonosis
Hepatozoonosis là một bệnh truyền nhiễm nguy hiểm cho chó, do ký sinh trùng Hepatozoon spp. gây ra. Ký sinh trùng này thuộc họ Apicomplexa và có thể xâm nhập vào cơ thể chó qua một số hình thức khác nhau. Một trong những nguyên nhân chính gây ra hepatozoonosis là sự lây lan thông qua bọ ve, một loại vector truyền bệnh phổ biến. Nhờ vào những thói quen sống của ve, ký sinh trùng có khả năng tồn tại trong cơ thể của chúng trong một thời gian dài và sau đó lây nhiễm sang vật chủ khi ve cắn.
Ve, đặc biệt là ve đen chân, là tác nhân truyền bệnh chính, thường xuyên cư trú ở các khu vực có cây cỏ dày hoặc vùng nhiều bụi rậm. Khi chó tiếp xúc với khu vực này, khả năng bị cắn bởi ve cũng tăng lên, từ đó làm tăng nguy cơ nhiễm bệnh. Ngoài ra, ký sinh trùng cũng có thể lây lan qua việc chó ăn nhầm các mô hoặc dịch tiết của chó bị nhiễm bệnh.
Các yếu tố nguy cơ khác cũng có thể làm tăng khả năng mắc hepatozoonosis ở chó, bao gồm môi trường sống và tình trạng sức khỏe của chó. Chó sống trong khu vực có nhiều ve, hoặc chó có sức đề kháng yếu thường dễ bị nhiễm hơn. Mùa hè và những tháng ẩm ướt là thời điểm cao điểm cho sự phát triển của ve, từ đó gia tăng nguy cơ phát tán ký sinh trùng. Chăm sóc sức khỏe thường xuyên cho chó, đặc biệt là việc kiểm tra và phòng ngừa ve, là rất quan trọng để giảm thiểu nguy cơ lây nhiễm ký sinh trùng này một cách hiệu quả.
Triệu chứng và Chuẩn đoán Hepatozoonosis
Hepatozoonosis là một bệnh nhiễm trùng do ký sinh trùng Hepatozoon canis gây ra, ảnh hưởng nghiêm trọng đến sức khỏe của chó. Triệu chứng của bệnh này có thể rất đa dạng, từ nhẹ đến nặng. Một số triệu chứng ban đầu thường gặp bao gồm sốt, mệt mỏi, và sự chán ăn. Những biểu hiện này có thể dễ dàng bị nhầm lẫn với các bệnh lý khác, do đó việc nhận biết và theo dõi đáng tin cậy là cần thiết.
Khi căn bệnh tiến triển, chó có thể phát triển các triệu chứng nghiêm trọng hơn như đau cơ và khớp, được biểu hiện qua việc chó di chuyển chậm chạp hơn hoặc có dấu hiệu khó khăn trong việc đứng lên. Ngoài ra, một số chó có thể có triệu chứng sốt cao kéo dài, cùng với các vấn đề về tiêu hóa như nôn, tiêu chảy hoặc phân có máu. Một trong các triệu chứng khó chịu nhất của hepatozoonosis là suy giảm sức khỏe toàn thân do hệ miễn dịch của chó bị suy yếu.
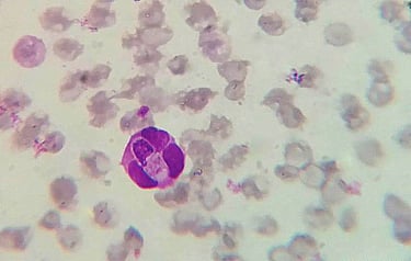
Để chẩn đoán chính xác hepatozoonosis, bác sĩ thú y thường thực hiện xét nghiệm máu nhằm phát hiện sự hiện diện của ký sinh trùng cũng như kiểm tra các chỉ số sức khỏe tổng quát của chó. Ngoài ra, việc thực hiện ảnh chụp có thể hỗ trợ trong việc nhận diện dấu hiệu của tổn thương nội tạng mà ký sinh trùng gây ra. Sự kết hợp giữa triệu chứng lâm sàng và các phương pháp chẩn đoán sẽ giúp bác sĩ đưa ra quyết định điều trị hiệu quả nhất.
Điều trị Hepatozoonosis
Hepatozoonosis là một bệnh truyền nhiễm nghiêm trọng ảnh hưởng đến chó, do ký sinh trùng Hepatozoon spp. gây ra. Việc điều trị bệnh này thường đòi hỏi sự phối hợp và can thiệp từ các bác sĩ thú y chuyên nghiệp. Phương pháp điều trị phổ biến nhất bao gồm sự kết hợp của thuốc kháng sinh và thuốc chống ký sinh trùng để kiểm soát cả ký sinh trùng và những triệu chứng đi kèm.
Các loại thuốc thường được sử dụng trong điều trị hepatozoonosis bao gồm sulfadiazine và pyrimethamine. Sulfadiazine có khả năng tiêu diệt ký sinh trùng một cách hiệu quả, trong khi pyrimethamine giúp củng cố tác dụng của sulfadiazine, tăng cường khả năng tiêu diệt ký sinh trùng. Việc sử dụng cả hai loại thuốc này trong một khoảng thời gian kéo dài sẽ cần thiết, thường là từ 10 đến 14 ngày, để đảm bảo rằng ký sinh trùng được loại bỏ hoàn toàn khỏi cơ thể chó.
Trong quá trình điều trị, việc theo dõi sức khỏe định kỳ là rất quan trọng. Chủ nuôi nên đưa chó đi khám sức khỏe thường xuyên để bác sĩ thú y có thể kiểm tra sự phục hồi của chó và điều chỉnh liều lượng thuốc nếu cần thiết. Ngoài ra, chế độ dinh dưỡng hợp lý cũng cần được chú trọng trong thời gian này nhằm hỗ trợ sức khỏe và tăng cường hệ miễn dịch cho chó. Chủ nuôi nên cung cấp cho chó một chế độ ăn cân đối và giàu dinh dưỡng, giúp chúng hồi phục nhanh chóng.
Điều đáng lưu ý là một số con chó có thể gặp phải tác dụng phụ của thuốc trong quá trình điều trị. Do đó, bất kỳ dấu hiệu bất thường nào như nôn mửa, tiêu chảy hay biểu hiện mệt mỏi cũng nên được thông báo ngay lập tức cho bác sĩ thú y để có thể điều chỉnh phương pháp điều trị kịp thời.
Phòng ngừa Hepatozoonosis
Hepatozoonosis là một căn bệnh nghiêm trọng ảnh hưởng đến sức khỏe của chó, do đó việc phòng ngừa là rất quan trọng để bảo vệ thú cưng của bạn. Một trong những biện pháp phòng ngừa hiệu quả nhất là sử dụng thuốc phòng ngừa ve. Ve có thể truyền ký sinh trùng Hepatozoon đến chó thông qua sự cắn. Do đó, lựa chọn một sản phẩm phòng ngừa ve chất lượng và tuân thủ lịch trình sử dụng định kỳ sẽ giúp giảm thiểu nguy cơ lây nhiễm.
Tiêm phòng cũng là một phần quan trọng trong quy trình phòng ngừa. Mặc dù không có vaccine đặc hiệu cho hepatozoonosis, việc tiêm phòng các bệnh khác giúp tăng cường khả năng miễn dịch, từ đó giúp chó chống lại các bệnh truyền nhiễm liên quan. Người nuôi chó nên tham khảo ý kiến của bác sĩ thú y để có được lịch tiêm phòng phù hợp nhất cho thú cưng của mình.
Các biện pháp chăm sóc vệ sinh cũng không thể thiếu trong việc phòng ngừa căn bệnh này. Bạn nên giữ cho nơi ở của chó luôn sạch sẽ, thường xuyên dọn dẹp và loại bỏ các vật dụng có thể trở thành nơi trú ngụ của ve. Cần chú ý đến việc tắm rửa cho chó định kỳ và sử dụng các sản phẩm tắm đặc biệt có khả năng diệt ve, giúp hạn chế sự phát triển của loài ký sinh trùng này. Bổ sung chế độ dinh dưỡng hợp lý cũng đóng vai trò quan trọng trong việc duy trì sức khỏe của chó, tăng sức đề kháng và khả năng chống lại nhiễm trùng.
Bằng cách thực hiện các biện pháp phòng ngừa trên, bạn không chỉ bảo vệ chó khỏi hepatozoonosis mà còn nâng cao sức khỏe tổng quát của thú cưng. Việc tỉnh táo và hành động kịp thời sẽ giúp giữ cho chó luôn khỏe mạnh và hạnh phúc.
Tư vấn từ Bác sĩ Thú y Dr.Vet
Hepatozoonosis là một căn bệnh nghiêm trọng ở chó, do ký sinh trùng gây ra, và có thể dẫn đến nhiều biến chứng nếu không được phát hiện kịp thời. Để bảo vệ thú cưng của bạn khỏi căn bệnh này, bạn nên thực hiện một số biện pháp phòng ngừa quan trọng. Đầu tiên, việc bảo vệ chó khỏi bọ chét và ve là rất cần thiết. Các loại thuốc chống bọ chét và ve hiệu quả, giúp ngăn ngừa sự lây lan của ký sinh trùng, nên được sử dụng thường xuyên và theo đúng chỉ dẫn của bác sĩ thú y.
Thứ hai, hãy chú ý đến chế độ ăn uống của chó. Một chế độ dinh dưỡng cân bằng không chỉ giúp chó phát triển khỏe mạnh mà còn tăng cường hệ miễn dịch, giúp chúng có khả năng miễn dịch tốt hơn đối với các bệnh truyền nhiễm, bao gồm cả hepatozoonosis. Bạn hãy lựa chọn thực phẩm chất lượng cao, phù hợp với độ tuổi và tình trạng sức khỏe của chó. Ngoài ra, việc kiểm tra sức khỏe định kỳ cũng rất quan trọng. Các bác sĩ thú y thường xuyên sẽ giúp bạn phát hiện sớm bệnh tật thông qua các xét nghiệm cần thiết.
Nếu bạn nghi ngờ chó của mình đã bị nhiễm hepatozoonosis, điều quan trọng là không tự điều trị mà nên thay vào đó đưa chúng đến bác sĩ thú y ngay lập tức. Chẩn đoán sớm có thể giúp tăng khả năng điều trị hiệu quả và giảm thiểu nguy cơ biến chứng. Trong trường hợp được chẩn đoán, việc tuân theo phác đồ điều trị của bác sĩ thú y và theo dõi sự hồi phục là hết sức quan trọng. Hy vọng rằng với những biện pháp phòng ngừa và chăm sóc đúng cách, bạn có thể giúp chó của mình tránh xa hepatozoonosis và các mối nguy hiểm khác liên quan đến sức khỏe.
Kết luận
Hepatozoonosis là một căn bệnh nghiêm trọng, ảnh hưởng đến sức khỏe của chó và tiềm ẩn nhiều rủi ro nếu không được phát hiện và điều trị sớm. Căn bệnh này do một loại ký sinh trùng mang tên Hepatozoon gây ra, thường lây truyền qua muỗi hoặc thông qua việc nuốt phải các vật thể chứa ký sinh trùng. Những chú chó mắc hepatozoonosis có thể trải qua các triệu chứng đa dạng, bao gồm sốt, suy nhược, và khó khăn trong việc di chuyển. Việc nhận biết và chẩn đoán sớm là rất quan trọng, bởi điều này ảnh hưởng lớn đến khả năng phục hồi của chó.
Để phòng ngừa hepatozoonosis, các chủ nuôi nên thực hiện một số biện pháp cần thiết. Việc phát hiện sớm các biểu hiện lâm sàng cùng với việc thực hiện các xét nghiệm định kỳ có thể giúp kiểm soát và ngăn ngừa sự lây nhiễm của căn bệnh này. Đồng thời, việc bảo đảm cho chó không tiếp xúc với muỗi hoặc môi trường có nguy cơ lây nhiễm cao cũng rất quan trọng. Các biện pháp này bao gồm sử dụng thuốc chống muỗi và giữ sạch môi trường sống cho thú cưng.
Chăm sóc sức khỏe cho chó cần được chú trọng hơn bao giờ hết, với sự theo dõi thường xuyên về tình trạng sức khỏe và biểu hiện của các bệnh lý. Các chủ nuôi nên đảm bảo cho chó của mình có chế độ dinh dưỡng hợp lý và được tiêm phòng đầy đủ. Cuối cùng, việc phát hiện sớm và điều trị kịp thời sẽ góp phần nâng cao tỷ lệ phục hồi cho những chú chó mắc bệnh hepatozoonosis.

